Venkateshwar Centre of Dental Excellence is a unique state-of-the-art facility in the field of dentistry, which houses perfect combination of high-end technology and a team of specialized and experienced Doctors to meet all your dental needs.Over the years, the horizon of dental treatment has broadened to some groundbreaking technologies that include:
Laser Dentistry:
At Venkateshwar Hospital, the Centre of Dental Excellence is incorporated withlaser dentistry as one of our major specialties. This advanced technology enables us to perform a variety of procedures with minimal discomfort and a faster healing period. Laser dentistry is ideal for treatments such as gum disease therapy, cavity detection, teeth whitening, and even precise gum reshaping. Our skilled dentists utilize laser technology to deliver precise and effective results, ensuring a comfortable experience for our patients.
Oral Maxillofacial Surgery:
Oral maxillofacial surgery is another prominent specialty at Venkateshwar hospital, Delhi. Our team of skilled surgeons is trained in diagnosing and treating complex oral and facial conditions. Whether you require dental implants, corrective jaw surgery, facial trauma treatment, or removal of impacted teeth, our oral maxillofacial surgeons provide expert care and utilize advanced techniques to ensure optimal outcomes and a speedy recovery.
Invisible Braces:
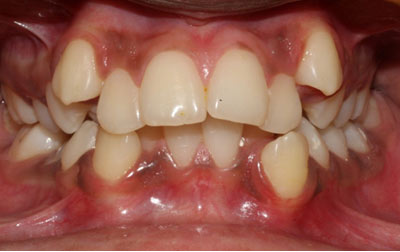
Invisible metal braces give you the much-needed relief from the hassles of traditional metal braces.Venkateshwar Hospital,Delhioffers invisible braces, also known as clear aligners, as a discreet and effective orthodontic solution. Using custom-made, removable aligners, we can straighten your teeth and correct misalignments without anyone even noticing. Invisible braces provide the flexibility and convenience you desire, allowing you to maintain your oral hygiene routine with ease throughout the treatment process.
Digital Dentistry:
At Venkateshwar Hospital, we embrace the latest advancements in digital dentistry to improve the accuracy and efficiency of our treatments. Our digital dentistry services include digital X-rays, 3D imaging, and computer-aided design and manufacturing (CAD/CAM) technology. These innovations enable us to provide precise diagnoses, customized treatment plans, and high-quality restorations, all while minimizing discomfort and reducing treatment time.
Digital Scanner & CAD/CAM:
With our state-of-the-art digital scanner and CAD/CAM technology, we can create highly accurate digital impressions and fabricate dental restorations with exceptional precision. This eliminates the need for traditional messy impressions and allows for faster turnaround times. Whether you require crowns, bridges, or veneers, our digital scanner and CAD/CAM technology ensure optimal fit, function, and aesthetics, giving you a beautiful and natural-looking smile.
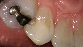
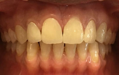
Zirconia Crowns:
For durable and aesthetically pleasing dental restorations, werecommend Zirconia Crowns, a type of tooth restoration treatment that covers severe decay and bad discoloration. Zirconia is a strong and biocompatible material that closely resembles the natural appearance of teeth. Our dental experts craft zirconia crowns with precision and artistry, ensuring a perfect fit and a seamless blend with your existing teeth. With zirconia crowns, you can achieve strong teeth and a pleasant smile.
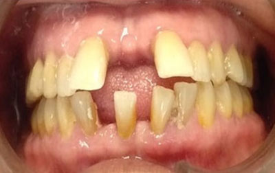
Painless Root Canal Treatment:
At Venkateshwar Hospital,Delhi, painless root canal treatment is performed with precision and care. Using advanced local anesthesia techniques, we ensure minimal discomfort during the procedure. The dentist gently removes the infected pulp, cleans the canal, and seals it with biocompatible materials. Our modern equipment and experienced practitioners ensure efficient and virtually pain-free treatment. Patients can resume normal activities shortly after the procedure, experiencing relief from the initial pain caused by the infection.
Laser Root Canal Treatment:
Laser root canal treatment is considered to be the future of dental care. Utilizing cutting-edge laser technology, weoffer a minimally invasive approach. Laser dentistry can be seamlessly integrated with traditional root canal techniques to enhance the efficacy of removing infected pulp and eradicating bacteria, thus preventing the likelihood of infection recurrence. The procedure often involves the utilization of a laser drill to gain access to the inner chamber, accompanied by a soft-tissue laser for thorough sterilization of the tooth's structures. This includes targeting intricate areas like the dentinal tubules, which may be challenging to treat using conventional methods. Laser root canal treatment provides a more precise means of exposing the tooth's pulp while conserving a greater portion of the healthy tooth structure. Additionally, the laser can be employed to reshape the dentinal walls of the canal if needed. Notably, this technique minimizes friction throughout the process, resulting in a significant reduction in discomfort and pain for the patient.
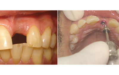
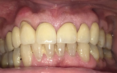
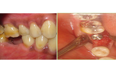
Nobel Implants- Nobel Implant is a breakthrough in dental restoration. Crafted with precision, the Nobel Implant offers a seamless solution for missing teeth, ensuring both functionality and aesthetics. Engineered from biocompatible materials, it seamlessly integrates with your jawbone, providing stability and long-lasting support. Our seasoned specialists meticulously execute the implant procedure, employing state-of-the-art technology for optimal results and minimal discomfort. Experience restored confidence in your smile, improved speech, and enhanced chewing capabilities. Say goodbye to discomfort and slipping dentures. With Nobel Implant, embrace a natural-looking, permanent solution that redefines your dental well-being, one smile at a time.
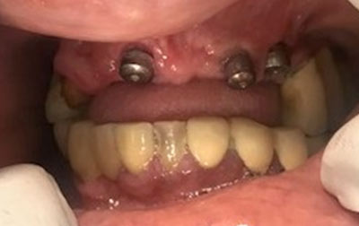
All-on-four Implants-The All-On-4 dental implant technique revolutionizes tooth replacement by utilizing only four implants to support an entire upper or lower set of teeth. This innovative approach involves strategically angling the posterior implants at a 45° tilt towards the back of the mouth. These implants are then precisely positioned within the front part of the upper jaw (anterior maxilla), a region known for its denser bone structure. What sets the All-On-4 method apart is its ability to provide stable implant support even in cases where bone density might otherwise be insufficient for traditional implant procedures.
Children dentistry under general anesthesia (GA)- The utilization of general anesthesia (GA) can become necessary when dealing with young children undergoing dental procedures or teenagers who experience anxiety in the dental chair. Ensuring proper dental care for children holds immense significance, as any negligence can potentially result in serious future complications. In pediatric dentistry, the administration of general anesthesia (GA) serves the purpose of inducing a state of complete sleep in the child, ensuring their full cooperation with the pediatric dentist, and eliminating any pain sensations. This anesthesia is skillfully administered by a specialized medical professional known as an anesthesiologist. Throughout the entire dental procedure, the anesthesiologist remains in close attendance, diligently monitoring the child's condition.
Following the dental treatment, the anesthesiologist takes on the responsibility of gently rousing the child from the anesthesia-induced sleep, prioritizing their comfort and tranquility. This comprehensive approach helps to guarantee a positive and stress-free dental experience for both children and individuals who may be apprehensive about dental treatments.
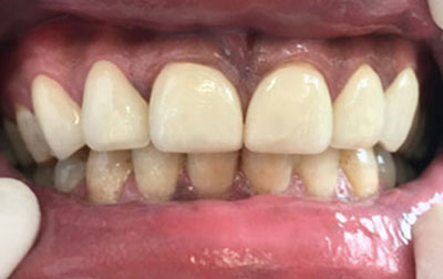
Laminates:
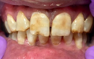
Dental laminates closely resemble dental veneers and are becoming a preferred choice for enhancing smiles. Available in composite or porcelain, these thin, customized shells offer numerous advantages. They effectively mask stains and discolorations on individual teeth, especially when conventional teeth-whitening methods fall short. In cases of stubborn and deep dental stains caused by factors like excessive fluoride or certain medications, standard whitening procedures often prove ineffective. Dental laminates step in as a promising solution, especially with lighter-colored variants effectively concealing teeth with severe discoloration.
Beyond staining, laminates address unexpected dental issues such as chips, wear, or breakage. They swiftly camouflage imperfections, whether on a single tooth or multiple ones, revitalizing the overall dental aesthetic. Dental laminates also serve as a corrective measure for uneven, misaligned teeth, as well as indentations and protrusions. A minor enamel trim enhances the adherence of these thin shells while preventing overcrowding and closing gaps between teeth. With the ability to seamlessly match natural tooth shades, dental laminates seamlessly integrate into the oral environment. Patients even have the flexibility to select their desired level of tooth whiteness.
Notably, the effects of dental laminates are enduring, eliminating the need for subsequent adjustments or reshaping. In essence, dental laminates offer a versatile and lasting solution for an array of dental imperfections, yielding confident smiles without the constraints of staining, damage, or misalignment.
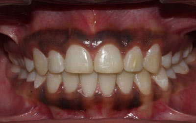
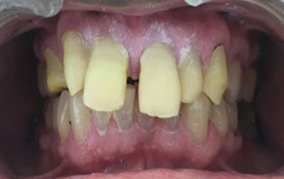
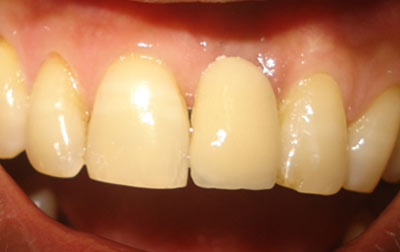
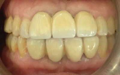
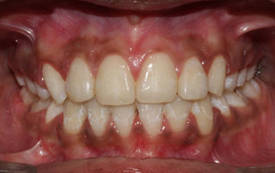
Smile makeover:
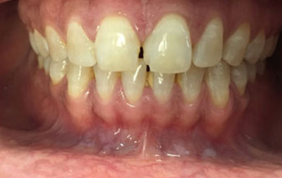
Radiating confidence through a beaming smile can truly uplift your spirits. A captivating smile holds significant sway in social and professional spheres, enhancing your overall appeal. However, numerous individuals refrain from revealing their teeth in public or photographs due to personal dissatisfaction. If you find yourself in this category, why not consider allowing us to assist you in attaining the smile you've always envisioned? Embark on a journey toward your ideal smile with our transformative smile makeover. A smile makeover transcends the mere resolution of dental issues as they arise. It constitutes a holistic plan to rejuvenate your smile, intricately tailored to complement your distinct facial features and aesthetic inclinations. The outcomes are nothing short of remarkable—both in terms of your visual transformation and the surge of newfound confidence you'll experience.
Invisalign: Invisalign is a revolutionary orthodontic approach using transparent, removable aligners. Virtually invisible, it provides discreet teeth straightening, ideal for those concerned about appearance. The aligners are easily removable, enabling hassle-free oral care and allowing consumption of any food. They offer greater comfort as they lack wires and brackets, with gradual adjustments for a comfortable experience.
Metal braces: Metal braces are the traditional orthodontic choice, using metal brackets and wires to achieve comprehensive teeth straightening. They excel in correcting complex alignment problems and are a reliable option. Metal braces are known for their durability and effectiveness, often resulting in shorter treatment times. Regular adjustments allow for precise control over tooth movement, making them a time-tested solution for achieving optimal alignment.
At Venkateshwar Hospital, we are dedicated to providing exceptional dental care in a comfortable and patient-centric environment. Our major specialties, including laser dentistry, oral maxillofacial surgery, digital dentistry, invisible braces, and zirconia crown etc. symbolizeour commitment to staying at the forefront of dental advancements.
Along with aforementioned treatments for dental care, we constantly induct the latest technology of dentistry to become the best dental center in India.
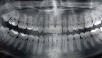
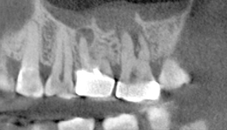
Handheld 3D sacnner with Ultrafast Optical Sectioning TM. Technology for spray – and powder free intraoral scanning in monochrome (black & white)
Diagnosis, Implant planning & follow-up of implants. It can also be used for accurate measurement of dimension of lesions & planning of surgical procedures.
- Cubical Semi Tomography
- Advanced CMOS Sensor
- Face to Face Positioning
- With Floor Stand
EPIC X is the only diode laser in the USA with three unique therapy modes – Soft Tissue Surgery, Whitening, and Pain Therapy. No matter which therapy you wish to offer, you have EPIC X versatility available at the touch of a finger using a fully redesigned, one-of-a-kind touchscreen interface.
- Clinically Versatile
- A Versatile Tool For Soft Tissue Surgery
- Face to Face Positioning
- Laser Teeth Whitening in 20 Minutes
- Blood Less Surgery